
Ceva Salud Animal concluye su participación en OVUM 2024
Ceva Salud Animal cerró con éxito su participación en OVUM 2024, el evento más relevante de la industria avícola en Latinoamérica, presentando

Ceva Salud Animal cerró con éxito su participación en OVUM 2024, el evento más relevante de la industria avícola en Latinoamérica, presentando

El Ing. Zootecnista Santiago Cura, Gerente de Servicios de Vacunación de la empresa francesa CEVA, se desempeña en una vasta región que

Por MV Diego, Delgado, Servicios Veterinarios Ceva Salud Animal Cono Sur A nivel mundial el huevo se está transformando en una de

Por: Facundo Ferrari, Servicios Veterinarios Unidad Avícola Ceva Cono Sur Fotos: CEVA Los factores ambientales son importantes para el control de la

El transporte de pollitos de un día es una etapa crucial en la cadena de producción avícola, por lo que para asegurar

Un repaso por la situación actual de la enfermedad de Gumboro, Cómo detectarla de forma temprana, cómo se disemina y cómo controlarla

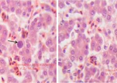
Por MV Lucas Sara, Servicios Veterinarios para Ceva Salud Animal Cono Sur Los adenovirus aviares son los agentes etiológicos de enfermedades conocidas

El mundo registra una cifra de casos sin precedentes y las infecciones en mamíferos alertan sobre un posible salto del virus a

Una comida ligera y deliciosa es esencial para mantener una alimentación equilibrada. En esta receta, te mostraremos cómo preparar pollo a